MRC兒童矯正
台中MRC矯正推薦—爵佳美學牙醫診所
研究發現,兒童的不良生活習慣(如吸手指)、錯誤的吞嚥和呼吸方式都會影響牙齒的排列與下顎咬合,因為在兒童成長過程中,軟組織的運用方式與牙齒排列的整齊度息息相關,但一般的矯正治療較難顧及此部分。
為了改善兒童的不良口腔習慣(如用口呼吸、錯誤的舌位及吞嚥方式等),爵佳美學牙醫診所提供台中MRC矯正治療,牙醫師會根據兒童的口腔狀況,選擇合適的MRC功能性矯正器,並搭配呼吸訓練及舌頭運動,幫助孩子養成正確的呼吸方式及吞嚥習慣等,進而改善臉部的發育及牙齒的排列。
若您對於孩子的齒列狀況有任何疑問,建議您盡早至爵佳美學牙醫診所做台中MRC矯正評估。

什麼是MRC功能性矯正器?
「MRC功能性齒顎矯正器」為特殊設計的口腔肌肉訓練器,讓齒顎不正的孩子養成正確口腔習慣。
在治療過程中,兒童需依醫囑指示配戴MRC功能性矯正器,並搭配一系列的口腔肌肉運動訓練,改善不正確的口腔肌肉習慣及舌頭擺放位置,幫助齒顎正常發育,讓牙齒在正確位置上生長,並讓未生長的牙齒有更好的成長空間,改善齒列不整或齒顎錯咬的問題。
台中MRC矯正的訓練目標
- 使用鼻子呼吸
- 矯正舌頭位置
- 重拾整齊齒列
- 咬合調整至Class I
- 休息時,雙唇保持閉合
- 吞嚥時,不會牽扯到頦肌
- 治療完成後,無需使用維持器
MRC矯正器系列
牙醫師會依患者的年齡及牙齒狀況,選擇合適的MRC矯正器,幫助患者養成正確的口腔習慣。
Mixed Dentition(混合齒列)
- 適用對象:兒童、青少年
- 主要功能:培養孩子正確的口腔習慣、改善錯位牙齒的排列
Permanent Dentition(恆牙齒列)
- 適用對象:青少年、成人
- 主要功能:調整上下顎之間的關係,並改善齒列不整或齒顎錯咬的問題,將牙齒排列至正確位置
- 補充:可與傳統矯正器合併使用
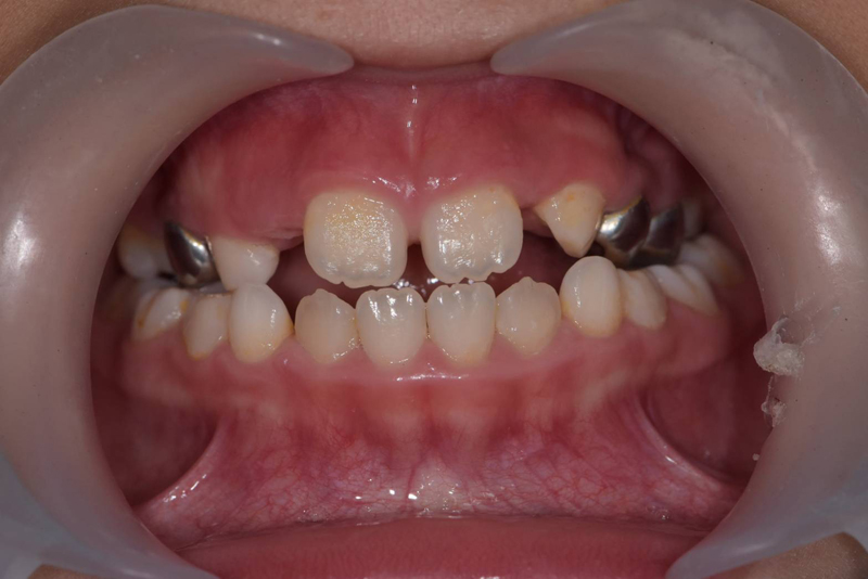
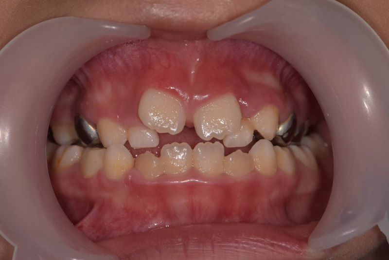
案例分享
- 年紀:七歲女童
- 治療期間:109年4月~109年12月
治療前
治療後
聲明:本所療程皆由專業醫生評估後,依照個人口腔狀況進行治療。因每位患者個別狀況不同,術後狀況也不盡相同,需親來本所由醫生評估。